News Centre

Stay updated with the latest news across sports and entertainment sectors from partners.

Sports News

Two Texas A&M stars named SEC Player of the Week after defeating LSU

Two Texas A&M stars named SEC Player of the Week after defeating LSU

Texas A&M star QB Marcel Reed and Edge Cashius Howell were named SEC Player of the Week on offense and defense after defeating LSU on Saturday night.

Poll: Vote for the Blue FCU Fort Collins-area Football Player of the Week (Oct. 27)

Poll: Vote for the Blue FCU Fort Collins-area Football Player of the Week (Oct. 27)

Vote for your Blue FCU Fort Collins-area Football Player of the Week, with nominees from Fort Collins, Rocky Mountain, Wellington and Windsor.

Lily Allen and David Harbour Are Selling NYC Home After Bombshell Album

Lily Allen and David Harbour Are Selling NYC Home After Bombshell Album

Lily Allen and David Harbour are selling their New York City home following the release of her breakup album, West End Girl. The pair listed their 19t...

Papers: Man Utd to block January exits for Mainoo and Zirkzee

Papers: Man Utd to block January exits for Mainoo and Zirkzee

The top stories and transfer rumours from Tuesday's newspapers...

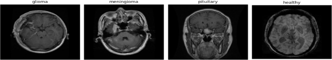
A swarm intelligence-driven hybrid framework for brain tumor classification with enhanced deep features

A swarm intelligence-driven hybrid framework for brain tumor classification with enhanced deep features

Scientific Reports - A swarm intelligence-driven hybrid framework for brain tumor classification with enhanced deep features

Basketball Fans Say Jay Leno Is Proof That the Mafia Never Left

Basketball Fans Say Jay Leno Is Proof That the Mafia Never Left

The biggest gambling scandal in modern sports reminds fans that Leno’s attackers are still at large

Papers: Postecoglou tipped to make sensational return to Celtic

Papers: Postecoglou tipped to make sensational return to Celtic

The top stories and transfer rumours from Tuesday's newspapers...

Falling asleep follows a predictable bifurcation dynamic

Falling asleep follows a predictable bifurcation dynamic

Li et al. propose a conceptual framework to study the phenomenon of falling asleep based on electroencephalogram data. They show that a tipping point...

#8 - Football Manager 26

#8 - Football Manager 26

Step into the dugout and experience the future of football management.

ResynPy: a software for selecting pairs of complementary inbred lines to resynthesize valuable heterozygous genotypes

ResynPy: a software for selecting pairs of complementary inbred lines to resynthesize valuable heterozygous genotypes

Background Using cultivars based on a single, partly heterozygous, genotype is one of the bases of agriculture, frequently used in seed-propagated spe...